Nos prestations
- [ Échographie mammaire ]
- [ Radiopédiatrie ]
- [ Radiologie du sportif ]
- [ Rhumatologie ]
- [ Radiologie interventionnelle ]
- [ Élastographie hépatique ]
- [ Échographie de contraste ]
- [ Radio, échographie, scanner, IRM:
comment ça marche? ]

Échographie mammaire
Souvent, la mammographie est complétée par une échographie mammaire, soit à la demande du médecin, soit en raison d’une densité mammaire trop élevée.
C’est précisément à ce stade que nous intervenons. Lorsqu’une lésion solide est identifiée, nous réalisons généralement, sans délai, une ponction-biopsie sous échographie afin d’obtenir rapidement un diagnostic histologique.

Radiopédiatrie
Nous pratiquons tous les examens échographiques habituels en pédiatrie. Nous privilégions l’échographie dans toutes les situations ou la radiographie peut être évitée.

Radiologie du sportif
Nous collaborons depuis de nombreuses années avec les médecins du sport et nous avons participé à la formation continue des médecins du sport par l'intermédiaire de cours donnés en binôme avec le Dr Pierre-Etienne Fournier au centre mondial du cyclisme à Aigle et au CHUV. Nous sommes membres de la société européenne d'échographie ostéo-articulaire et membre de la SIMS.

Rhumatologie
Nous gradons les synovites des arthrites inflammatoires par un score échodoppler (main/pied). Il est maintenant possible dans la plupart des cas de confirmer par échographie la présence d'un tunnel carpien et dans le même temps de rechercher les variantes de la normale qui pourraient compliquer une éventuelle opération.
Nous pratiquons entre autres:
- en cas d’arthrose l’injection échoguidée de PRP, souvent associée à la viscosupplémentation intra-articulaire «Cellular Matrix®» y compris des petites articulations;
- l'infiltration cortisonée et la ténotomie échoguidée des doigts à ressault;
- l'infiltration échoguidée des tunnels carpien et tarsien;
- l'infiltration et le lavage échoguidée de calcifications lors d'arthropathies microcristallines à dihydroxyapatites;
- les ponctions articulaires diagnostiques.
Si vous devez avoir une infiltration échoguidée:
Signalez à votre médecin un éventuel traitement anticoagulant, le Sintrom est par exemple dans certains cas une contre-indication!
Dans la plupart des cas le geste est très peu douloureux, équivalent à une prise de sang.
L'aiguille atteint rapidement son but sous contrôle échographique. En fonction des indications et des localisations, on vous injectera, après anesthésie locale, un dérivé cortisoné, un mélange de NaCl et de cortisone, ou vos propres plaquettes avec ou sans acide hyaluronique. Après l'infiltration vous devrez rester encore 20 minutes dans nos locaux pour surveillance, puis vous pourrez retourner chez vous. La conduite d'une voiture est autorisée, sauf pour les infiltrations intratendineuses de PRP.

Radiologie interventionelle
Infiltrations cortisonées
Si vous êtes diabétique ou hypertendu demander l'avis de votre médecin, en effet la cortisone peut déséquilibrer un diabète ou une hypertension, mais dans la plupart des cas, ne contre-indique pas l'infiltration.
Pendant au moins 48 heures il faut éviter de trop mobiliser la zone infiltrée pour ne pas favoriser la dispersion du médicament! Si vous avez déjà une attelle, prenez-la avec vous le jour de l’infiltration.
Si l’infiltration est réalisée en contact de tendons, l’activité sportive doit être interrompue pendant au moins 2 semaines!
Complications possibles: dans environ 1 cas sur 100 d’injection intra-articulaire de cortisone, il peut apparaître une arthrite chimique très douloureuse qui se résout toujours en environ 3 jours sous traitement antalgique et anti-inflammatoire, de poches de glace, Dafalgan et AINS (Irfen par ex).
Traitement à haut volume de Nacl
Collaboration scientifique: Dr James Brown, Leeds Musculoskeletal and Rehabilitation Service (UK).
Ce traitement consiste en l’injection d’un volume important de NaCl 0,9% en péritendineux (40 ml), après avoir effectué une anesthésie locale de 5ml de Bupivacaïne 0,5%.
Fig.1 Aiguille en contact avec le tendon achille
Fig.2 Remplissage du péritendon de 40 ml de NaCl 0.9%
Fig.3 AVANT traitement
Fig.4 APRES traitement
Après l’injection, le mollet est bandé et un repos de 48 heures est nécessaire. Dès le 3ème jour, un traitement de physiothérapie est initié. Un traitement antioxydant per os (1 gr de vit.C / j.) pendant 2 mois est prescrit après l'infiltration.
Cf. fiche TTT Haut Volume (Lire le PDF)
Traitement mixte
Collaboration scientifique: Dr James Brown, Leeds Musculoskeletal and Rehabilitation Service (UK).
Ce traitement associe injection de haut volume de NaCl en péritendineux, une injection cortisonée dans la bourse achilléenne et la mise au repos de la cheville pendant 3 semaines dans un Vacoped. Il est destiné aux tendinopathies distales du tendon d’Achille avec ou sans Haglund (protubérance de l’os du talon).
Ce traitement est associé à un traitement de physiothérapie spécifique initié déjà une semaine après l’injection. Une prophylaxie anti-thrombotique est nécessaire.
Cf. fiche TTT Mixte (Lire le PDF)
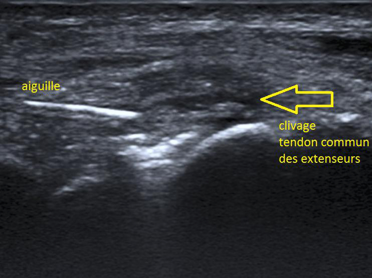
Fenestration – ténonotomie échoguidée – needling
Ces trois expressions sont synonymes. Il s’agit d’une intervention de microperforation des tendons lors de tendinopathies chroniques. Ce traitement a pour but d’induire une réaction cicatricielle dans le tendon, dans un but de réparation. Le geste se fait sous anesthésie locale.
Une fenêtre de 3 mois sans traitement cortisonée est nécessaire, les AINS doivent être stoppés 15 jours avant et après l’intervention. Pendant 4 semaines après l’intervention seule une activité physique normale est autorisée. Une prise en charge de physiothérapie est initiée dès le 15ème jour avec surtout des exercices de renforcement.
Une genouillère peut occasionnellement être utilisée pour les interventions sur le tendon rotulien et une botte de marche pour les interventions sur le tendon d’Achille, mais le plus souvent on permet une mobilisation douce des articulations sans attelle. Nous réalisons ces fenestrations surtout lors d'épicondylite mais également lors d'aponévropathie plantaire, de jumper's knee, de tendinopathie des fessiers et des ischiojambiers.
Injection de concentrés plaquettaires (PRP) sous contrôle échographique
Collaboration scientifique: Dr Alain Silvestre, Centre d’imagerie ostéoarticulaire, clinique du sport de Bordeaux.
L'injection de facteurs plaquettaires est une nouvelle technique disponible pour le traitement des tendinopahies chroniques, elle doit être pratiquée sous contrôle échographique. La cicatrisation tendineuse est directement dépendante de la vascularisation qui est pauvre au niveau tendineux et qui provient des vaisseaux issus du muscle adjacent essentiellement mais aussi du paratendon et des os.
La faible vascularisation explique le faible potentiel de cicatrisation du tendon, d’où l’idée d’injecter des concentrés plaquettaires dans le tendon qui, grâce à la forte concentration de facteurs de croissance, ont la possibilité d’induire une bien meilleure cicatrisation. Ces phénomènes de cicatrisation peuvent être divisés en trois phases:
- Phase inflammatoire: elle dure 24h environ
- Phase de réparation: elle débute quelques jours après le traumatisme et dure quelques semaines.
- Phase de remodelage: dès la 6ème semaine, le tissu conjonctif cicatriciel se modifie et est transformé progressivement en tissu tendineux vers la 10ème semaine. Après cette période, le tissu continue de se modifier pour retrouver sa morphologie et ses propriétés mécaniques initiales.
D'un point de vue pratique, le tendon doit être mis au repos durant la phase inflammatoire (environ une semaine) afin de limiter les altérations du tissu cicatriciel primitif particulièrement fragile. Au cours des phases suivantes, la mobilisation tendineuse permet de limiter les adhérences et d'augmenter les propriétés élastiques.
En pratique, les structures injectées le plus fréquemment sont les tendons épicondyliens, le tendon rotulien (dans ce cas deux injections à 3 semaines d’intervalle), le fascia plantaire, le tendon d’Achille ainsi que les tendons des fessiers.
Quel est le déroulement d'une injection de PRP?
- on prélève le sang du patient
- on le centrifuge et recueille le concentré plaquettaire:
mise en place du prélévement sanguin dans la centrifugeuse
aspiration du sérum surnageant
aspiration du concentré plaquettaire
- le concentré plaquettaire est injecté dans les fissurations tendineuses ou lors d’une fenestration tendineuse dans le cas de tendinopathie non fissuraire.

L'injection de PRP est réalisée sous contrôle échographique avec un matériel de dernière génération (Toshiba Aplio 500) et des sondes linéaires de haute fréquence adaptées à la pratique de la radiologie interventionnelle.
Une anesthésie locale peut être réalisée mais n'est pas obligatoire. Par contre, le produit anesthésiant ne doit pas être mélangé ou injecté à proximité des facteurs plaquettaires (risque d'inhibition) et doit se faire en périphérie du tendon. Ensuite, l'aiguille est placée au sein de la fissure. Le PRP est injecté sous contrôle échographique. Les consignes d'usage habituelles (repos, surveillance) sont ensuite données au patient.
Pendant 15 jours, éviter tout mouvement douloureux (support plantaire, bras en écharpe ou orthèse du coude si nécessaire), mais il faut quand même mobiliser l’articulation. Arrêt du sport pendant 1 mois minimum. Physiothérapie pendant 2 mois, encore une fois en évitant tout mouvement douloureux.
Contrôle échographique à 3 mois. En fonction du résultat, une deuxième infiltration peut être nécessaire.
Les PRP sont contre-indiqués chez les patients traités pour un cancer, les autres contre-indications sont les mêmes que pour les autres infiltrations.
Cf. fiche PRP tendon (Lire le PDF)
Traitement par infiltration de dextrose hyperosmolaire
Ce traitement est réservé aux tendinopathies insertionnelles d’Achille résistants depuis au moins 6 mois aux traitements habituels (physiothérapie, ondes de choc, mésothérapie). Ce traitement peut également être utilisé pour les tendinopathies pré-intentionnelles au cas où les PRP seraient contre-indiqués.
Ce traitement consiste en l’injection de dextrose hyperosmolaire à 20% dans la zone lésée de l’enthèse tendineuse toutes les 6 semaines (au maximum 6 fois) jusqu’à obtention d’une diminution suffisante de la symptomatologie.
Le dextrose hyperosmolaire induit par éclatement des cellules un phénomène de réparation qui stimule la multiplication des cellules tendineuses. C’est comme le PRP une méthode de prolothérapie (=thérapie par prolifération des cellules).
Après l’injection il faut éviter pendant une semaine les anti-inflammatoires non stéroïdiens et l’aspirine sauf l’aspirine cardio qui est tolérée.
Cf. fiche TTT Dextrose (Lire le PDF)
Injections de concentrés plaquettairers combinés à la visco-supplémentation pour le traitement de l’arthrose
L’injection simultanée intra-articulaire de Cellular Matrix® est une innovation de l’entreprise suisse RegenLab; elle combine les effets bénéfiques des PRP (diminution du catabolisme et régénération du cartilage, effets anti-inflammatoires) et de l’acide hyaluronique (diminution de la douleur et augmentation de la viscosité du liquide articulaire).
Indications:
- arthrose des grandes articulations. Rhizarthrose du pouce.
Théoriquement l’arthrose de grade 4 (os mis à nu) n’est pas une bonne indication pour les PRP, dans ce cas nous proposons soit un essai de Cellular Matrix® soit une simple injection d’acide hyaluronique, avec le même suivi que pour le Cellular Matrix® (cf. ci-dessous «combien pratique-t-on d’injections?»)! - Les lésions ostéo-chondrales stables par exemple de l’astragale ou d’un condyle fémoral.
Contre-indications:
- anti-inflammatoires: stopper 2 semaines avant l'infiltration.
- anti-coagulants:
- Héparine BPM: dernière dose 12 heures avant
- Plavix: stopper ou remplacer par HBPM
- Sintrom, Marcoumar: relais par Héparine BPM
- nouveaux anticoagulants (Eliquis, Pradaxa: arrêt 3 jours avant le geste)
- grossesse, maladie du sang et troubles de la coagulation, infection aigüe et cutanée, rhumatisme inflammatoire, maladie auto-immune, cancer (demander l’avis de l’oncologue)
Cf. fiche Cellular Matrix® (Lire le PDF)
Hydro-dissection du NIP
Ce traitement du syndrome du nerf interosseux postérieur associe Nacl 0.9%, lidocaïne 1% et de cortisone en une injection de 6 ml à la hauteur de l’arcade de Frohse dans le but de décoller les adhérences rentrant en conflit avec le nerf. Ce syndrome peut mimer une épicondylite et peut aussi lui être associé.
Le diagnostic du syndrome du NIP est difficile aussi bien cliniquement, radiologiquement que par les tests neurologiques (EMG). L’infiltration permet de confirmer le diagnostic et peut être thérapeutique.

Élastographie hépatique
L'élastographie ultrasonore est une nouvelle modalité d'imagerie qui permet d'imager les propriétés mécaniques des tissus et en particulier leur dureté.
Nous utilisons cet examen surtout pour grader l’élasticité du foie et par là même le degré de fibrose du foie.


Échographie de contraste
Il s’agit d’une méthode d’imagerie associant l’échographie conventionnelle à une injection intraveineuse d’un agent spécifique de contraste permettant une étude dynamique de la vascularisation organique ou lésionnelle. Les agents de contraste utilisés sont des microbulles d’environ 3 microns gardant un caractère intravasculaire strict (Sonovue®Bracco).
Nous utilisons l’échographie de contraste surtout pour caractériser les lésions hépatiques, afin d’éviter dans la mesure du possible des examens IRM ou scanner. Ceci permet aussi souvent de réduire la période angoissante entre la découverte d’une lésion et son diagnostic. L’injection de contraste permet également d’augmenter la sensibilité de l’échographie lors de la recherche de métastases hépatiques ou de néoplasie hépatique secondaire à un cirrhose.
Les contre-indications médicales à l’injection sont une cardiopathie ischémique instable et un antécédent récent de syndrome coronarien aiguë. Aucun effet secondaire n’a été rapporté (ni néphrotoxicité, ni réaction d’hypersensibilité).

Radiologie, échographie, scanner, IRM:
comment ça marche?
Voici une petite explication concernant les différents types d'analyse par imagerie médicale.
Lire l'article complet du magazine Ma Santé du 5 sept. 2019:
« IRM, radiographie, scanner, échographie: Tout comprendre de l'imagerie médicale. » (PDF)
Avec l'aimable autorisation du magazine « Ma Santé »